
TRATAMIENTOS CON LÁSER
12.09.2022
LÁSER DE DIODO, ¿qué es?
Es una luz que interacciona con los tejidos, donde produce unos efectos quirúrgicos y terapéuticos.
Para qué sirve:
- Cirugías, ayuda en la coagulación (efecto hemostático)
- Alargamientos coronarios
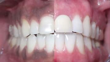
- Blanqueamientos dental y de ENCIA
- Tratamientos de periodoncia
- Tratamiento de hipersensibilidad
- Terapia del dolor (ATM)
- Liberación de implantes
- Bioestimulación ( efecto antiinflamatorio, analgésico, reparador, alta desinfección)
- Tratamiento contra úlceras, herpes y aftas,...entre otros...

¿Qué paciente es candidato para este tipo de Tratamiento?
Cualquier paciente es candidato para beneficiarse de las ventajas que nos ofrece el tratamiento con láser, incluso aconsejable en infantil, ya que es menos doloroso.
Aquí les destacamos algunos tratamientos de los arriba mencionados...
- Gingivectomía:
- Blanqueamiento de encías:
